Call Today

+1 210-399-8060

Open Hour

08:00 AM to 5:00 PM

Meet Dr. Kent Hamilton, DDS

Dr. Kent Hamilton is a board certified periodontist with more than 40 years of experience. He has dedicated his career to clinical excellence, innovation, and patient care.

He earned his Doctor of Dental Surgery degree at the University of Texas Dental School in Houston. At Texas A&M, he graduated magna cum laude before completing a residency in periodontics at UT Health San Antonio. There he gained advanced skills in implantology, bone grafting, and soft tissue regeneration.

After dental school, Dr. Hamilton served as a general dentist in the U.S. Air Force. During that time, he also taught biochemistry at Texas A&M and later held academic appointments at the UT Health Science Centers in Houston and San Antonio.

Throughout his career, Dr. Hamilton has lectured across the country and internationally on periodontal therapy, bone grafting, implant surgery, and periodontal plastic surgery. In addition, he has placed thousands of implants and successfully treated many complex regenerative cases. His work has been featured in Texas Monthly and San Antonio Magazine as a “Top Dentist.” Furthermore, his professional accomplishments are highlighted on his Ritter Implants profile.

Over the years, Dr. Hamilton has founded and partnered in several periodontal and implant practices in San Antonio. More recently, he joined MySmile Dental, where he continues to provide advanced care while mentoring younger clinicians. His innovative approach to practice design and patient experience was also featured in a Henry Schein spotlight.

Dr. Hamilton values lifelong learning and continues to integrate new technology into his work. For example, he uses digital imaging, guided surgery, and biomaterials to improve treatment outcomes. Outside of dentistry, he enjoys traveling, water skiing, surfing, hunting, dancing, and spending time with family.

With more than four decades of service, Dr. Kent Hamilton remains a trusted leader in periodontics and implant dentistry. As a result, he continues to combine experience, innovation, and compassion to help patients achieve healthy, confident smiles.

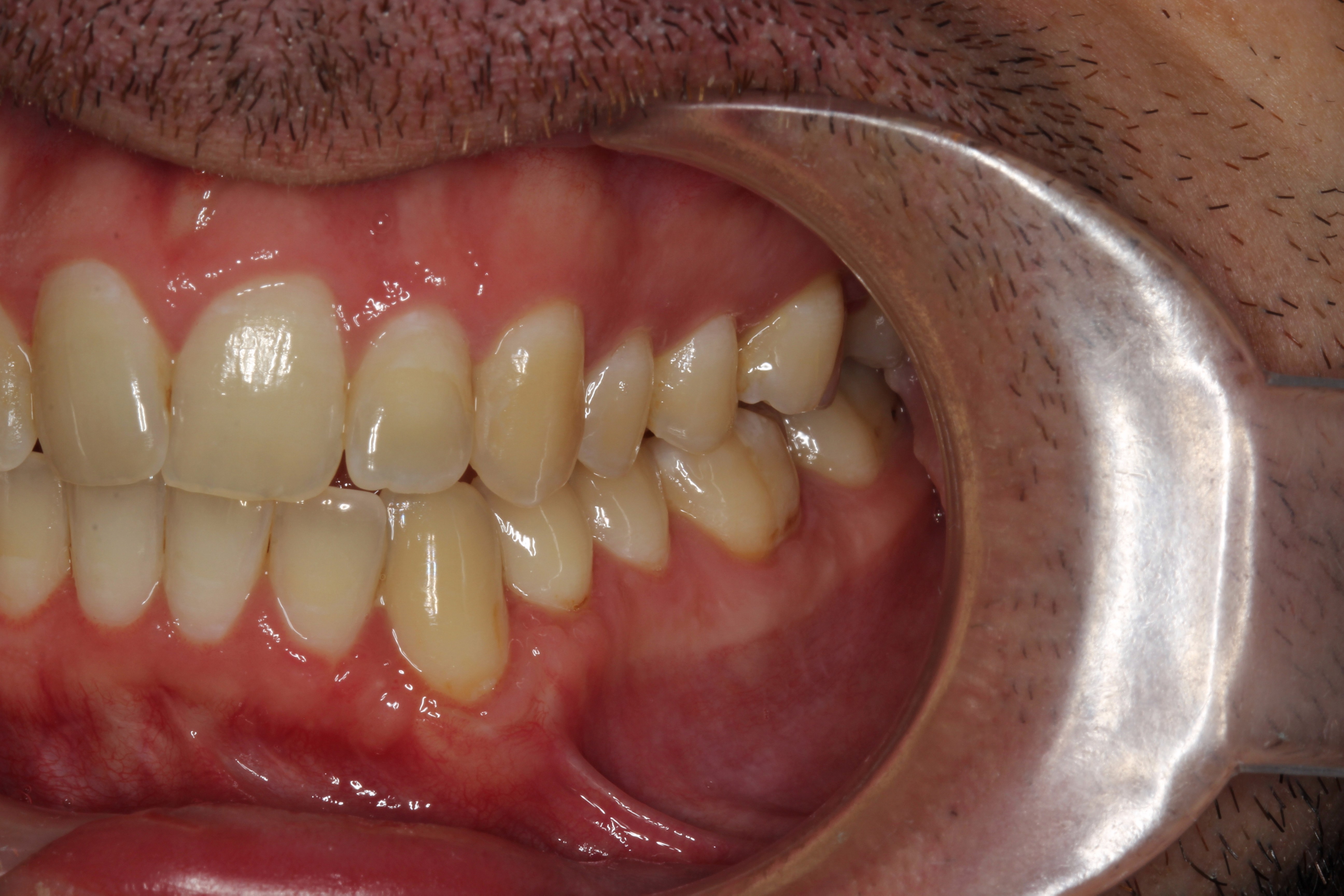
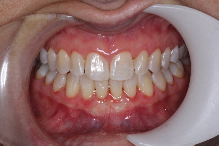
Before and After: The Art of Dentistry

Real results from Dr. Hamilton’s advanced care in restoring healthy, confident smiles.

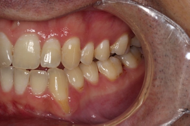
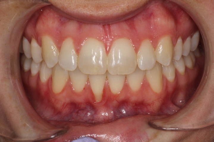
Sarah Blanco (1) - CTG LA - Before (1)Sarah Blanco (3) - CTG LA - After (1)
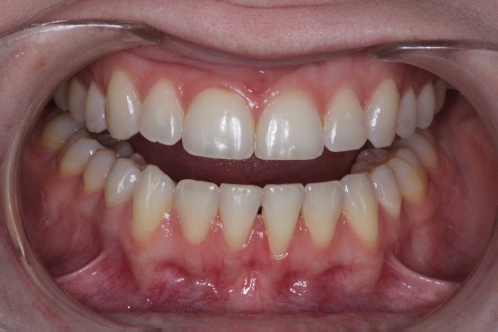
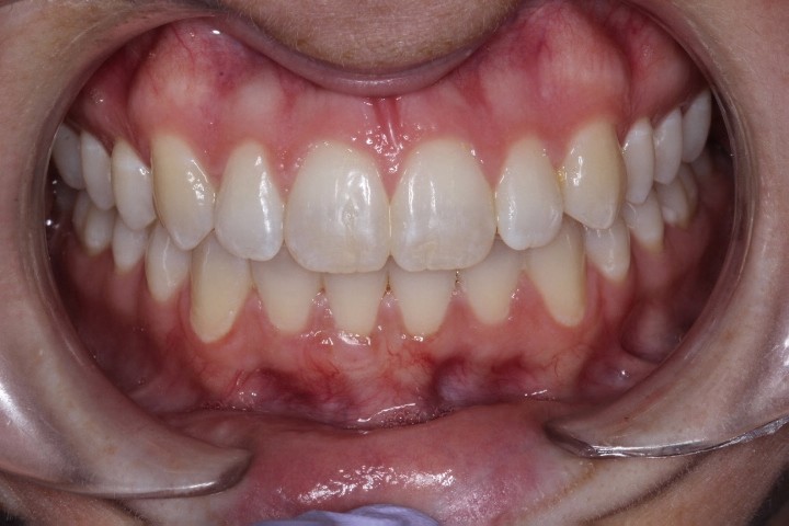
Daniel W. Scott (1) - CTG # 9-11 - BeforeDaniel W. Scott (2)- CTG #9-11 - After
Kristie Dapp (1) - CTG LA -BeforeKristie Dapp (2) - CTG LA - After
Elise Boyd (1) - CTG of LA - BeforeElise Boyd (2) - CTG of LA - After
Madeleine E. Johnson (1) - CTG LA -BeforeMadeleine E. Johnson (2) - CTG LA - After
Derrek Johnson (1) - CTG LL - BeforeDerrek Johnson (2) - CTG LL - After
George Carrillo (3) - Full Mouth Rehab -Before (2)George Carrillo (4) - Full Mouth Rehab - After (2)
Cynthia Suarez (3) - Full Mouth Rehab - BeforeCynthia Suarez (4) - Full Mouth Rehab - After
Lisa Corsentino (1) Upper anterior - BeforeLisa Corsentino (2) Anterior implants - After

Beyond the Practice: A Personal Look at Dr. Hamilton

Chat with us!

Your question was not sent because you did not have permission.

Thank you for Choosing MySmile! How may we help?

Does MySmile accept Insurance?

Yes, we accept a variety of insurance plans. Contact us at (210) 399-8060 to verify your coverage.

Schedule an Appointment

Give us a call at (210) 399-8060!

What are y’alls hours of operation?

We are open from 8am-5pm Monday - Friday, 10am-3PM on Saturday, and closed on Sundays

Where are y’all located?

We are located at 13341 San Pedro Avenue, San Antonio TX 78216

THANK YOU!

Thanks very much for filling that out. It means a lot to us, just like it does to you!